Radiografia intraorală la animalele de companie: diagnostic precis pentru sănătatea dentară
Prevenție, Tratament Natalia Ghimfus Prevenție, Tratament Natalia Ghimfus

Radiografia intraorală la animalele de companie: diagnostic precis pentru sănătatea dentară

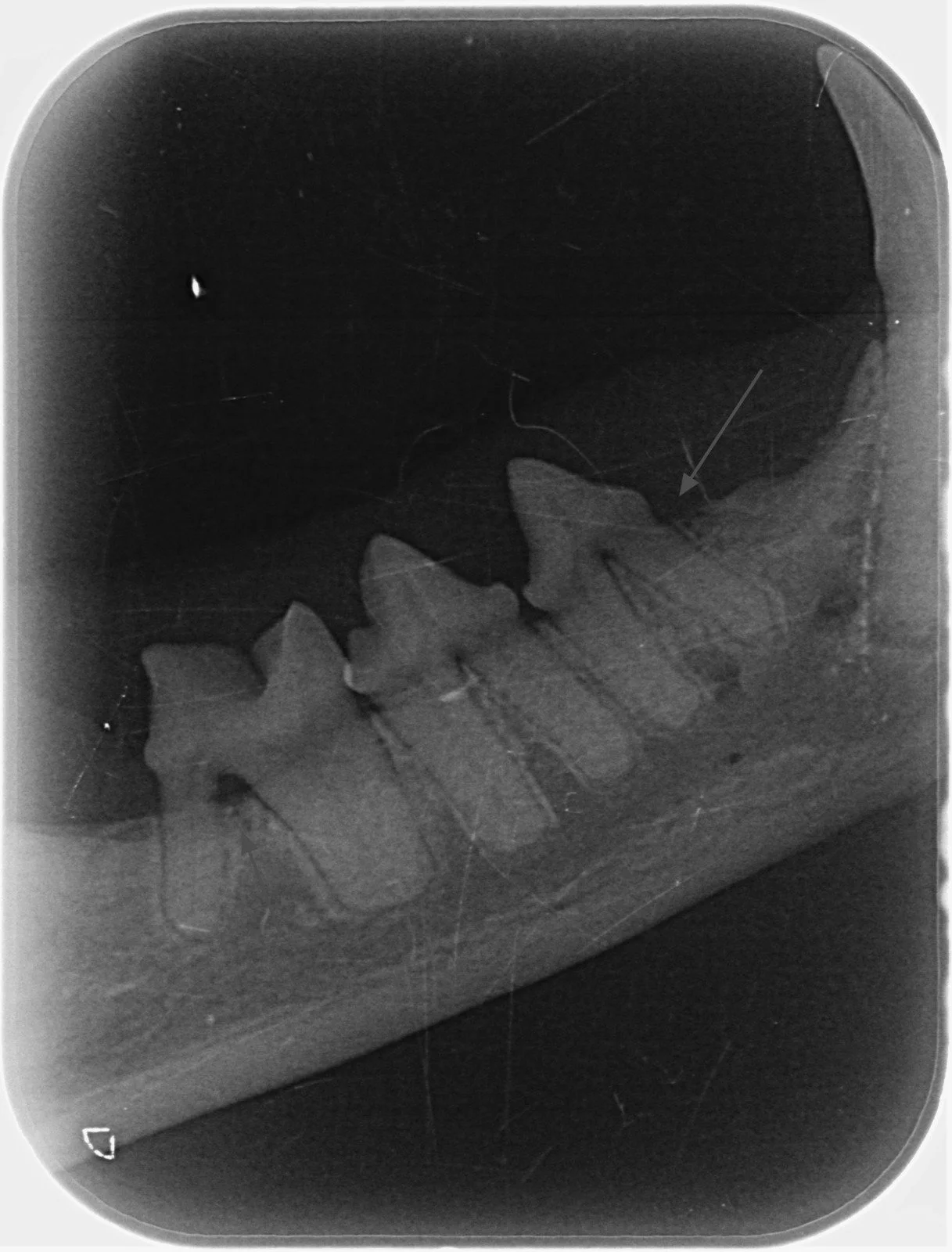
Problemele dentare sunt printre cele mai frecvente afecțiuni întâlnite la câini și pisici, însă multe dintre ele rămân ascunse sub gingie și nu pot fi observate la o simplă examinare vizuală. Radiografia intraorală veterinară este una dintre cele mai importante metode de diagnostic în stomatologia veterinară modernă, deoarece permite evaluarea detaliată a dinților, rădăcinilor și osului alveolar.

Read More