Radiografia intraorală la animalele de companie: diagnostic precis pentru sănătatea dentară

Problemele dentare sunt printre cele mai frecvente afecțiuni întâlnite la câini și pisici, însă multe dintre ele rămân ascunse sub gingie și nu pot fi observate la o simplă examinare vizuală. Radiografia intraorală veterinară este una dintre cele mai importante metode de diagnostic în stomatologia veterinară modernă, deoarece permite evaluarea detaliată a dinților, rădăcinilor și osului alveolar.

La clinica QincyVet, radiografia intraorală este utilizată pentru diagnosticarea corectă a problemelor dentare și pentru planificarea tratamentelor stomatologice, contribuind la îmbunătățirea semnificativă a sănătății orale a animalelor de companie.

Ce este radiografia intraorală la animale

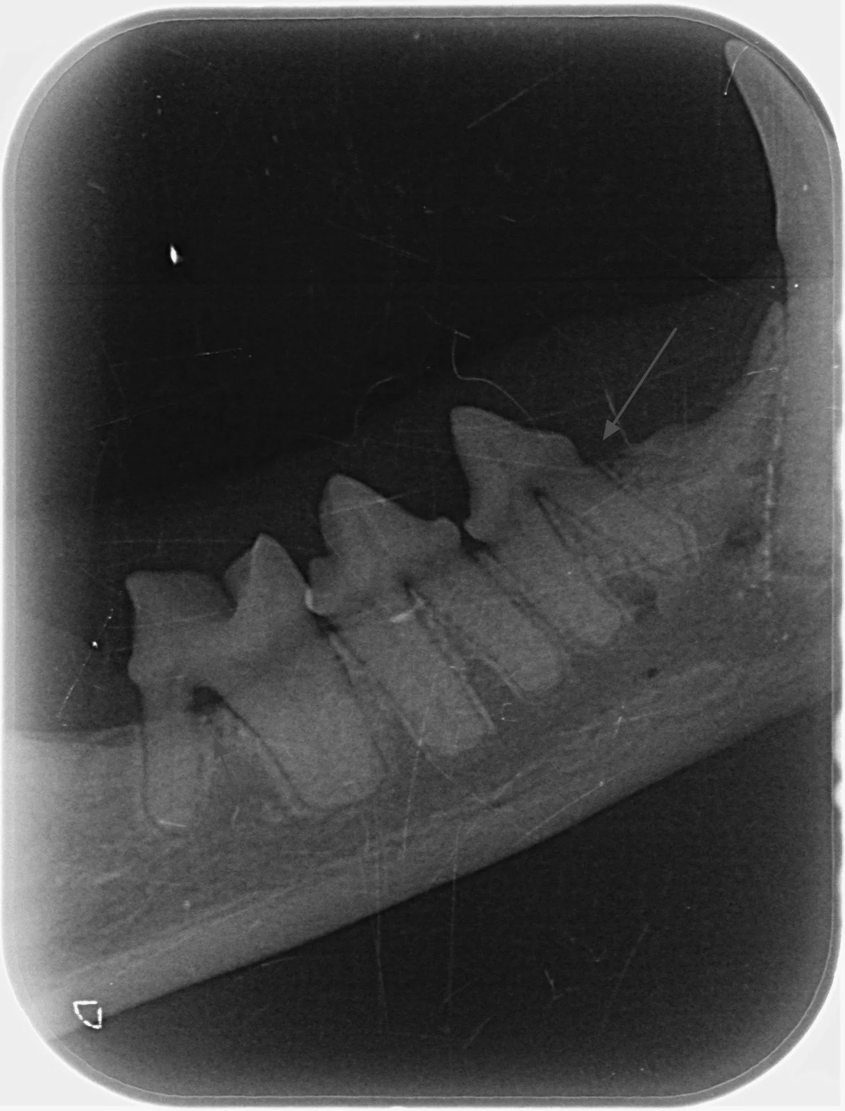
Radiografia intraorală este o tehnică imagistică specializată prin care se obțin imagini detaliate ale dinților și structurilor din jurul acestora, folosind plăcuțe fosforice plasate direct în cavitatea orală a pacientului.

Spre deosebire de radiografia clasică a craniului, radiografia intraorală oferă imagini mult mai precise și focalizate, fiind esențială în evaluarea sănătății dentare la câini și pisici.

Această investigație permite medicului veterinar să observe:

  • rădăcinile dinților

  • osul alveolar care susține dinții

  • structurile dentare afectate sub gingie

  • infecții sau abcese dentare

  • fracturi dentare

  • leziuni sau tumori osoase

De multe ori, peste 60% din structura dintelui se află sub gingie, ceea ce face imposibilă diagnosticarea corectă fără imagistică dentară.

De ce este importantă radiografia dentară la câini și pisici

Radiografia intraorală joacă un rol esențial în stomatologia veterinară deoarece multe afecțiuni dentare nu sunt vizibile la examinarea clinică.

Prin această metodă pot fi identificate probleme precum:

  • Boala parodontală

Boala parodontală este una dintre cele mai frecvente afecțiuni la animalele adulte. Radiografia ajută la evaluarea gradului de distrugere a osului alveolar, oferind informații importante pentru stabilirea tratamentului.

  • Abcese dentare

Infecțiile localizate la nivelul rădăcinii dintelui pot provoca durere intensă și complicații severe. Radiografia permite identificarea zonelor de infecție sau acumulare de puroi.

  • Fracturi dentare

Fracturile pot afecta doar coroana sau pot implica și rădăcina dintelui. Radiografia intraorală este singura metodă prin care se poate determina extinderea reală a fracturii.

  • Resorbția dentară la pisici

Resorbția dentară este o afecțiune frecventă la pisici, caracterizată prin distrugerea progresivă a structurii dentare. Radiografia permite diagnosticarea precoce și stabilirea tratamentului adecvat.

  • Dinți incluși sau rădăcini restante

Uneori, dinții nu erup complet sau pot rămâne fragmente de rădăcină după extracții. Radiografia ajută la identificarea acestor structuri ascunse.

Când este recomandată radiografia intraorală

Medicul veterinar poate recomanda radiografia dentară în mai multe situații, cum ar fi:

  • respirație urât mirositoare persistentă

  • gingii inflamate sau sângerânde

  • dificultăți la masticație

  • pierderea apetitului

  • salivare excesivă

  • umflături la nivelul feței

  • dinți fracturați sau mobili

De asemenea, radiografiile dentare sunt realizate de rutină în timpul procedurilor de detartraj și igienizare dentară, pentru a evalua starea rădăcinilor și a osului.

Cum se realizează radiografia intraorală

Procedura este rapidă și sigură pentru animal.

Etapele includ:

  1. Sedarea sau anestezia pacientului – pentru a permite poziționarea corectă a senzorului și pentru a elimina disconfortul.

  2. Plasarea plăcuței fosforice în cavitatea orală.

  3. Realizarea radiografiei cu ajutorul unui aparat special pentru stomatologie veterinară.

  4. Analiza imaginilor de către medicul veterinar.

Radiografiile sunt obținute rapid, ceea ce permite vizualizarea imediată și evaluarea detaliată a structurilor dentare.

Avantajele radiografiei intraorale cu plăcuțe fosforice

Această tehnologie oferă multiple beneficii atât pentru pacient, cât și pentru medicul veterinar.

Principalele avantaje sunt:

  • imagini de înaltă rezoluție

  • diagnostic rapid și precis

  • expunere redusă la radiații

  • posibilitatea de mărire și analiză detaliată a imaginilor

  • arhivarea digitală a investigațiilor

Aceste beneficii contribuie la stabilirea unui plan de tratament corect și eficient.

Radiografia intraorală în timpul tratamentelor dentare

În stomatologia veterinară modernă, radiografia dentară este considerată standardul de aur în diagnostic.

Aceasta este utilizată în mai multe etape ale tratamentului:

  • Înainte de tratament

  • Pentru evaluarea rădăcinilor dentare și a osului alveolar

  • În timpul extracțiilor dentare

  • Radiografia ajută la verificarea îndepărtării complete a rădăcinilor, prevenind complicațiile

  • După tratament

  • Pentru confirmarea succesului procedurii și monitorizarea vindecării

De ce radiografia dentară este esențială pentru sănătatea animalului

Afecțiunile dentare netratate pot avea efecte grave asupra sănătății generale.

Infecțiile din cavitatea orală pot ajunge în fluxul sanguin și pot afecta organe precum:

  • inima

  • ficatul

  • rinichii

Prin diagnostic precoce, radiografia intraorală ajută la prevenirea complicațiilor sistemice și la menținerea unei stări generale bune de sănătate.

Radiografia intraorală la QincyVet

La clinica QincyVet, radiografia intraorală este parte integrantă a serviciilor de stomatologie veterinară. Aparatura modernă și experiența echipei medicale permit realizarea unor investigații precise, esențiale pentru diagnosticarea și tratarea corectă a problemelor dentare.

Dacă animalul tău prezintă semne de disconfort dentar sau dacă dorești o evaluare completă a sănătății orale, programează o consultație la QincyVet.

Diagnosticarea corectă este primul pas spre o viață sănătoasă și fără durere pentru companionul tău.

Previous
Previous

Mituri despre anestezia pentru proceduri dentare veterinare

Next
Next

Stomatita cronică la câini (gingivostomatita): cauze, simptome și tratament